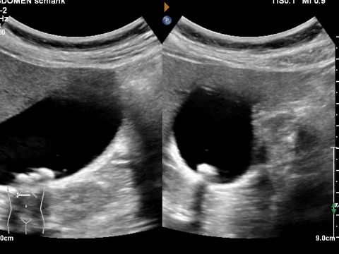
Ultraschall_Gallensteine_Praxis_Dr_Deiters